Palatal Torus Removal in Kissimmee, FL
Gentle removal of bony growths on the roof of the mouth for better comfort and oral health


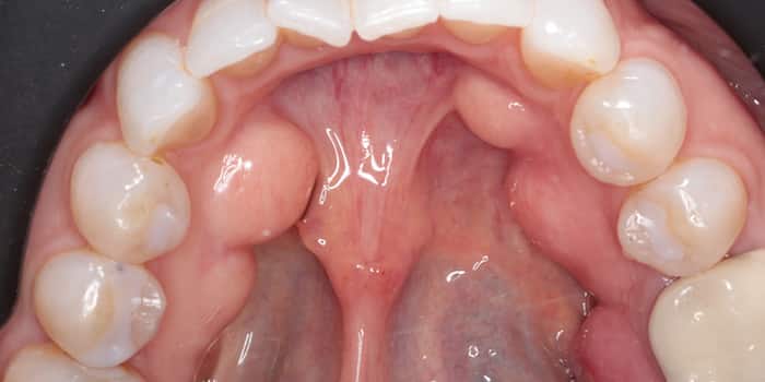
What is a Palatal Torus?
Finding a bony growth in the roof of your mouth can be unsettling, but a Palatal Torus is a benign condition that we resolve with specialized surgical care. While often harmless, these slow growing structures can cause discomfort with dentures, interfere with speaking, or become easily irritated. Our expertise is focused on the precise, gentle removal of the torus, permanently eliminating the source of irritation and restoring smooth, comfortable oral function with minimal recovery time.

Why Palatal Toris Removal is Recommended
Surgical precision addresses complex oral challenges that impact patient function and comfort. Our approach targets specific clinical indicators with expert care.
- Resolves denture fitting challengesPrevents oral tissue damageImproves oral mechanical functionEnhances overall dental comfort
Step-by-Step Guide to a Safe Palatal Torus Removal
1
Precision Diagnostic Planning
We start with detailed 3D imaging to map the exact location, size, and relationship of the torus to the surrounding anatomy, guaranteeing a precise and safe surgical plan.
2
Gentle Anesthesia and Isolation
You will receive local anesthesia and comforting sedation to ensure you feel absolutely nothing. We then gently access the torus while protecting the delicate overlying tissue.
3
Specialized Bone Reduction
Using minimally invasive techniques, we gently smooth and reduce the bony growth (torus). Our specialized approach ensures the removal is complete, permanent, and preserves the healthy jaw structure.
4
Smooth Recovery and Follow-Up
The area is closed with care, and we provide simple post-operative guidance. We monitor your recovery closely to ensure rapid, complete healing and renewed comfort.
Anxiety-Free Sedation Options for Your Comfort
Your comfort and safety are our top priorities during the procedure. We offer a range of sedation options to ensure a relaxed experience.

IV Sedation for a Relaxed Experience
IV sedation allows you to remain calm and comfortable throughout your treatment.

Oral Sedation for Ease and Comfort
Oral sedation is an effective option for those who prefer a pill to help ease anxiety.

Nitrous Oxide for Quick Relaxation
Nitrous oxide provides immediate relaxation and wears off quickly after the procedure.
What to Expect After Your Palatal Torus Removal
Healing after palatal torus removal is generally very quick and comfortable. Because our technique is minimally invasive, most patients are surprised by how little downtime is required. Our team will guide you through every stage to ensure a smooth, rapid recovery and lasting results, so you can enjoy your restored comfort as soon as possible.
- Mild swelling or soreness for a few days is normalHealing typically takes 1–2 weeksSoft foods recommended during early recoveryGentle rinsing and follow-up visits support proper healing

Restore Comfort and Oral Health with Gentle Palatal Torus Removal
At Kissimmee Oral Surgery, we prioritize your comfort, safety, and oral health above all. Whether you require specialized surgical treatment, innovative dental options, or caring support, our team is ready to assist you.

FAQs
Expert insights about palatal torus removal from our surgical specialists
Palatal tori emerge from genetic predisposition and bone growth variations. They represent natural anatomical differences in oral structures. Some patients inherit a higher likelihood of developing these bony growths.
Removal becomes critical when tori interfere with dental prosthetics or cause persistent discomfort. Our surgeons evaluate individual cases to determine the most appropriate treatment approach.
We utilize advanced 3D imaging to map precise anatomical details. Digital diagnostics help us understand the exact structure and potential surgical challenges before intervention.
In some cases, monitoring is recommended. Not all palatal tori require surgical intervention. Our team provides personalized recommendations based on individual oral health assessments.
We employ microsurgical instruments and minimally invasive approaches. Our techniques prioritize patient comfort and rapid recovery with precision-guided surgical methods.
Pre-surgical consultation involves comprehensive medical history review. Patients receive detailed instructions about medication, fasting, and pre-operative protocols tailored to their specific needs.
Large tori can potentially interfere with dental prosthetics, speech, and eating. Surgical removal can restore optimal oral mechanical performance and comfort.
We utilize CBCT scanning, digital surgical planning, and advanced 3D imaging. These technologies enable precise, predictable surgical outcomes with minimal invasiveness.
Our team provides comprehensive sedation options and compassionate care. We prioritize patient comfort through personalized communication and advanced pain management techniques.
We combine surgical expertise with patient-centered care. Our approach integrates advanced technology, specialized training, and individualized treatment protocols.
Get in Touch
We’re here to assist you with your inquiries.






