Mandibular Tori Removal in Kissimmee, FL
Gentle removal of bony growths for improved comfort and oral health


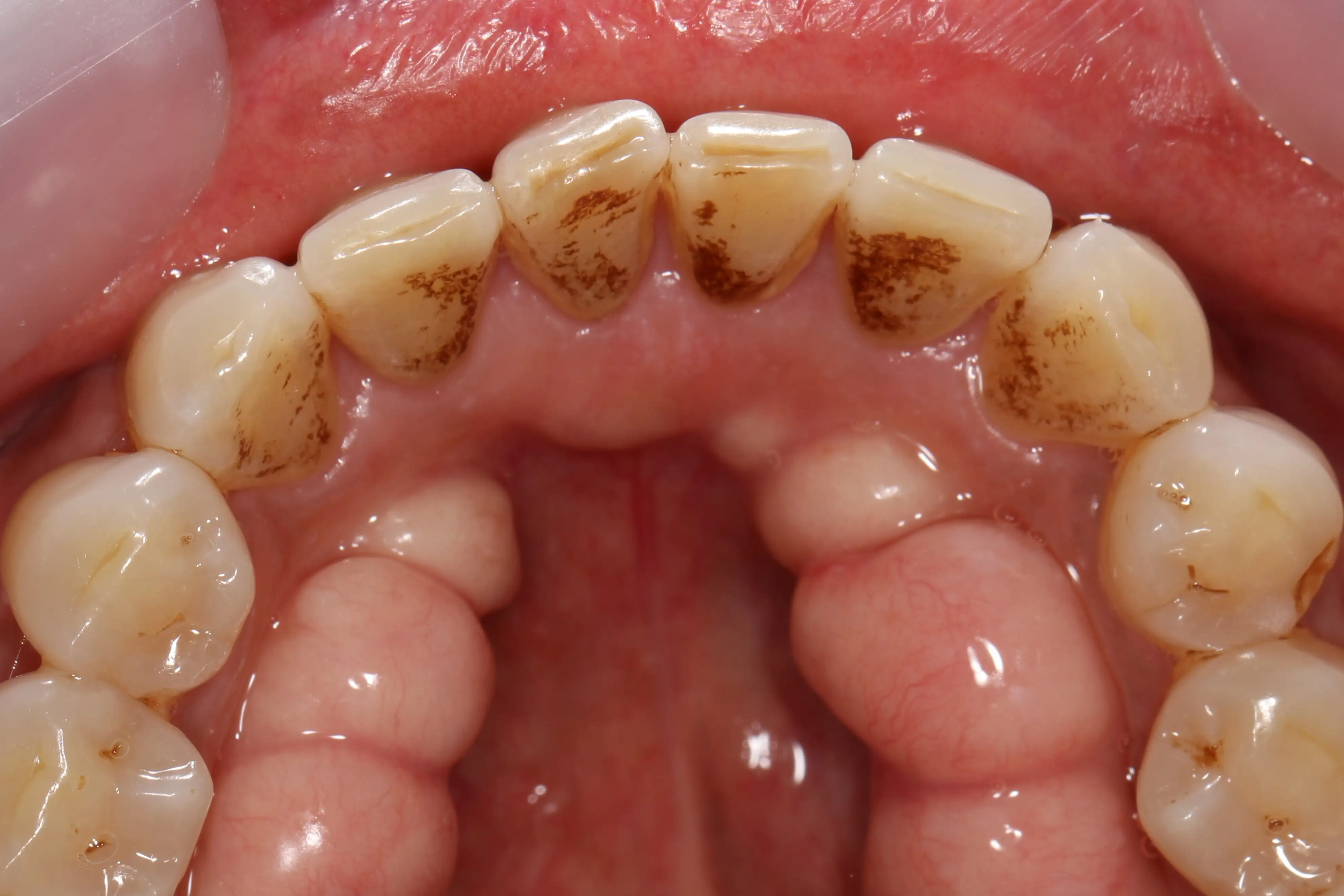
What Are Mandibular Tori?
Discovering a hard, bony protrusion on the inside of your lower jaw can cause concern, but Mandibular Tori are common, harmless bone growths. While benign, these structures can significantly interfere with dental procedures (like dentures or implants), trap food, and cause chronic irritation. Our specialty is the precise and gentle surgical contouring of the jawbone to permanently remove the tori, immediately restoring comfort and function and preparing your mouth for optimal dental health.
Who Should Consider a Sinus Lift?
Mandibular Tori are common, harmless bone growths. They usually cause no pain, but you may notice their presence when eating, brushing, or placing an appliance. They are characterized by their location and size:

Benefits of Mandibular Tori Removal
Removing mandibular tori can significantly improve oral function and prepare your mouth for future dental treatments. Our precise approach ensures optimal results.
- Improved dental prosthetic fittingEnhanced oral comfortPrevents potential complicationsSupports future dental proceduresPromotes long-term oral health
Step-by-Step Guide to a Smooth Mandibular Tori Removal
1
High-Definition 3D Planning
We use advanced 3D imaging and digital mapping to capture an exact replica of your bone structure. This allows us to plan the surgery with millimeter-level precision before the procedure even begins.
2
Personalized Surgical Strategy
A customized technique is developed specifically for you, focusing on the most direct and gentle approach possible. This minimizes disruption to surrounding tissues and promotes optimal, predictable results.
3
Precise Bone Contouring
During the procedure, the focus is on a smooth, gentle reduction of the bone growth. We use specialized, minimally invasive surgical techniques to reshape the bone surface with the highest level of care and precision.
4
Comprehensive Recovery Support
We provide you with detailed, personalized post-operative guidance immediately after the procedure. This support ensures smooth healing, manages comfort, and effectively monitors your progress until you are fully recovered.
Anxiety-Free Sedation Options for Your Comfort
Your comfort and safety are our top priorities during the procedure. We offer a range of sedation options to ensure a relaxed experience.

IV Sedation for a Relaxed Experience
IV sedation allows you to remain calm and comfortable throughout your treatment.

Oral Sedation for Ease and Comfort
Oral sedation is an effective option for those who prefer a pill to help ease anxiety.

Nitrous Oxide for Quick Relaxation
Nitrous oxide provides immediate relaxation and wears off quickly after the procedure.
What to Expect After Your Mandibular Tori Removal
Healing after mandibular tori removal is typically smooth and straightforward. Our team provides detailed aftercare instructions and support to ensure you recover comfortably and achieve the best long-term results.
- Mild swelling or tenderness for 2–3 days is normalHealing usually takes 1–2 weeksSoft foods and gentle rinses recommended in early recoveryFollow-up visits ensure everything is healing properly

Restore Comfort and Oral Health with Gentle Tori Removal
At Kissimmee Oral Surgery, we prioritize your comfort, safety, and oral health above all. Whether you require specialized surgical treatment, innovative dental options, or caring support, our team is ready to assist you.

FAQs
Expert insights about mandibular tori and surgical considerations
Mandibular tori develop from genetic predisposition, bone density variations, and repetitive jaw stress. Teeth grinding and anatomical factors can contribute to their formation. Individual patient characteristics play a significant role in tori development.
Not all mandibular tori require intervention. Our surgeons assess each case individually, considering potential impact on oral function and future dental treatments. Size, location, and patient comfort guide our recommendations.
We use advanced digital imaging and comprehensive clinical examination. Precise 3D scanning allows us to map bone structure, assess growth characteristics, and develop targeted surgical strategies.
Patients with tori that interfere with dental prosthetics, cause discomfort, or complicate oral procedures are primary candidates. Our approach prioritizes functional improvement and long-term oral health.
Cone beam CT scanning provides detailed 3D visualization of bone structures. Digital imaging enables precise measurement, comprehensive analysis, and minimally invasive surgical planning.
Mandibular tori can significantly affect dental prosthetics, implant placement, and overall oral function. Removing or contouring these growths ensures better treatment outcomes and improved comfort.
Family history plays a crucial role in mandibular tori development. Genetic predisposition can influence bone growth patterns and likelihood of tori formation.
Board-certified surgeons, advanced imaging, personalized surgical techniques, and comprehensive patient evaluation minimize potential complications. Our approach emphasizes patient safety and precise intervention.
Tori can develop and change throughout adulthood. Age influences surgical considerations, healing potential, and recommended intervention strategies.
Post-surgical monitoring ensures proper healing, addresses any concerns, and confirms successful treatment outcomes. We schedule comprehensive follow-up consultations to support patient recovery.
Get in Touch
We’re here to assist you with your inquiries.






